健身有风险:有基础疾病的这些人不宜练瑜伽
浙江在线-健康网7月19日讯(浙江在线记者 梁婧娴 通讯员 宋黎胜)在很多人的印象中,瑜伽是一种优雅、安全的健身运动,既能修身养性,又能塑造完美身材,因此深受都市女性的青睐。练瑜伽也成为很多杭州女性下班后的保留节目。不过,看似柔和的瑜伽同样藏有危险性。
最近,浙江省人民医院血管外科接诊了一位少见的女患者,练瑜伽后发生十分凶险的心脏主动脉破裂口——主动脉夹层。经过救治后,患者已经转危为安。

浙江省人民医院血管外科主任蒋劲松检查郑女士术后情况
看似柔和的瑜伽
竟把主动脉撕裂了
郑女士年近四十,为了改善体质,报了个瑜伽班。郑女士很“勤奋”,平时,她都会挤出时间上瑜伽馆跟着老师练上个把小时。
3周前的中午,她按时进入练习中,却发生了一个“小插曲”——腰背部异常疼痛。
“练习动作没什么特别,都是些拉伸的基础动作。”郑女士回忆说,“不过那天我做了之后,感觉有点异样,一开始没有明显的疼痛,也就没多想。谁知道晚饭后不久就觉得腰背部很疼。”郑女士怀疑是肌肉拉伤,打算第二天去医院看看。
但让她始料未及的是,腰背部的疼痛如同潮水般,一浪高过一浪袭来,撕裂般的剧烈疼痛让她顿时大汗淋漓。不仅如此,她还感觉胸闷,伴随阵发性胸部胀痛,郑女士痛得禁不住呻吟起来。
“不会是心肌梗死吧!”家人慌了,连忙开车将她送到浙江省人民医院。
医生排除了心肌梗死,但没等郑女士与家人松口气,一个同样十分凶险的病名从医生口中蹦出:心脏主动脉破裂口——主动脉夹层壁间血肿。
医生解释说,主动脉有三层血管壁,主动脉内膜破了,血液从血管腔经破口流入血管中间层,血管壁形成血肿,也就是医学上所称的夹层。如果破口较小或者压力低,可以通过控制血压、心率等,使内膜的破口愈合;若主动脉夹层壁间血肿继续增大,发生主动脉夹层破口,未及时进行手术治疗的话,将危及生命。
医生分析,郑女士练瑜伽时有不少拉伸动作,很可能主动脉经拉伸导致滋养动脉或者内膜破了。
经监测,郑女士主动脉夹层壁间血肿在继续增大,浙江省人民医院血管外科主任蒋劲松主任医师为她做了主动脉夹层腔内隔绝术(俗称主动脉放支架),成功“封杀”了具有“不定时炸弹”之称的主动脉夹层。

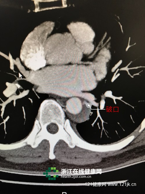
CT片显示主动脉内膜破裂口
郑女士的主动脉为何如此“脆弱”?蒋劲松分析,这可能与先天性因素有关,比如基因问题;外因则可能是瑜伽有拉伸动作,瞬间导致已“脆弱不堪”的主动脉内膜出现破裂口。
而在临床上,不少病人发生主动脉夹层则是高血压长期冲击“推波助澜”。
“这个患者确实很少见,我们救治过数百例主动脉夹层病人,与练瑜伽有关的还是第一次碰到。”蒋劲松说。
这些人健身需小心
专家建议“量力而行”
蒋劲松介绍,一般而言,瑜伽不属于剧烈运动,但练习中有身体扭、挤、拉、伸等姿势,还有头朝下,挤压颈部等动作,这就不适合一些有基础疾病的人。
“患有高血压、心脏病及脑供血不好的人最好不要练习瑜伽,因为瑜伽动作体位变化大,倒立和弓形动作会使血液倒流,容易引起心脑供血不足而发生意外;下肢静脉曲张的人,不建议长时间地盘坐、站立及过度的健身活动,病情轻时应穿弹力袜来积极治疗。”蒋劲松说。
此外,颈椎病、腰间盘突出、腰椎滑脱、膝关节炎或骨质疏松者也不适合高强度瑜伽训练。

此前有媒体报道,武汉一位女士在练习瑜伽时做了个仰头拉伸的动作后就动弹不得,竟是高位截瘫。医生检查发现,该患者的颈椎钙化严重,颈椎间盘突出,有很严重的颈椎病,其颈椎比正常的要脆弱很多,练瑜伽时仰头的动作相当于对脆弱的颈椎施加一个骤然的外力,导致了严重后果。
蒋劲松建议,参加瑜伽等健身活动前最好能到医院做一个体检,清楚自己是否有心脑血管疾病等,再听从医学运动医生的指导。其次,训练的方法要科学,强度适中,循序渐进。尤其是一些难度较高的动作,如果把握不好尺度,就极易造成运动性损伤,特别是那些活动范围较大的、稳定性较差的组织,如腰椎、膝关节以及韧带等。一旦发生身体严重不适时应及时上医院。


揭秘印度生意最火爆的代孕工厂
虫草中添加“伟哥”?专家称无检验依据
火锅、小龙虾越吃越想吃? 地餐馆调料检
实拍妇科实习全程:女人越漂亮越容易得
英女子得了“睡美人症” 每天清醒两小时

别对疾病的小信号视而不见
美容觉可以改善脸色 打鼾却让你老丑笨
盘点乳房太大对女人带来的健康危害
罂粟壳吃了有什么感觉
英国脱欧,对我国营养保健产业的影响
雾霾下的自救方案(2017版)
萨德对中国保健食品的进出口有何影响
日本核辐射地区生产的食物吃了怎么办
H7N9病毒中话鸡肉 产业安全促发展
长三角营养保健产业联盟信息专报(3.15








